- Las parejas con factor masculino pueden aumentar la eficacia del tratamiento con técnicas de selección espermática como MACS, que descarta los espermatozoides con el ADN fragmentado, o Fertile Chip, que permite seleccionar los espermatozoides de mayor motilidad y que suele asociarse a menor fragmentación.
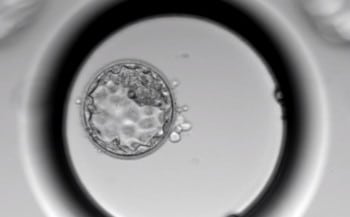
- La monitorización continuada del incubador Time-lapse-Geri permite seleccionar a los embriones con mayor capacidad de implantación.
- Gracias al Test de Compatibilidad Genética (TCG) y al Test Genético Preimplantacional (PGT), se puede prevenir la transmisión de una serie de enfermedades genéticas a la descendencia.

Gracias a la combinación de tratamientos de Medicina Reproductiva y a las avanzadas técnicas de laboratorio, hoy en día es posible aumentar las tasas de éxito en los tratamientos de reproducción asistida, incrementando aproximadamente hasta un 15% las tasas de embarazo.
El continuo desarrollo de las técnicas de laboratorio nos permite aumentar la probabilidad de embarazo en parejas con factor masculino relevante, seleccionar el embrión con mayor probabilidad de implantación, o prevenir la transmisión de ciertas enfermedades genéticas, entre otros grandes avances de la medicina reproductiva.
Técnicas de laboratorio para aumentar las probabilidades de embarazo con FIV: factor masculino y monitorización embrionaria
En este sentido, para la valoración y tratamiento del factor masculino, destacan el dispositivo Fertile Chip o la técnica MACS, que pueden ser determinantes para el éxito del tratamiento de reproducción asistida. Realizar una selección espermática para reunir un mayor porcentaje de espermatozoides de mejor morfología o eliminar aquellos que presentan anomalías aumentan las probabilidades de conseguir el embarazo.
La técnica MACS logra separar mediante procedimientos magnéticos los espermatozoides dañados (alta fragmentación de su ADN), permitiendo así una mejora de las tasas de éxito en aquellas parejas con daño en el ADN espermático, reduciendo la fragmentación en los espermatozoides seleccionados (entre un 30 y un 40% de los casos de infertilidad2).
Por otro lado, la técnica del Fertile Chip permite seleccionar aquellos espermatozoides de mejor movilidad, lo que suele estar relacionado con una menor fragmentación. Consta de dos cámaras de alta resolución, conectadas mediante un canal microfluídico. El semen es depositado directamente en la cámara de entrada y media hora más tarde, se seleccionan los espermatozoides que han conseguido alcanzar la cámara de recogida.
Para que un espermatozoide tenga un buen potencial fértil debe contener un material genético en buen estado en el momento de la fecundación. Por ello, estas dos técnicas suponen un gran avance para complementar los tratamientos de reproducción asistida. “Son procesos fáciles de realizar, que permiten descartar los espermatozoides con elevada fragmentación en su ADN y mejorar las tasas de gestación”, explica el Dr. Pascual Sánchez, cofundador y director médico de Ginemed.
También cabe destacar el innovador incubador Time-Lapse-Geri, que posibilita una observación y valoración constantes de los embriones en el laboratorio. Este método aporta grandes ventajas, como la monitorización continua de los embriones, la mejora de la selección embrionaria, el aumento de la tasa de embarazo por transferencia y la reducción de la tasa de embarazo múltiple, ofreciendo un control personalizado de cada uno de ellos.
“La optimización en la selección embrionaria orienta gran parte de los esfuerzos de los laboratorios de los centros de fertilidad”, afirma la embrióloga María Hebles, responsable de laboratorio de Ginemed Sevilla. “Sin duda, resulta vital disponer del mejor incubador para cuidar los embriones, que además permite hacer la mejor selección sin interferir en ningún momento en el desarrollo del embrión”, continúa.
Prevenir la transmisión de enfermedades genéticas a la descendencia
Hoy en día es posible prevenir la transmisión de enfermedades genéticas a la descendencia. Con el Test de Compatibilidad Genética (TCG), podemos identificar a las parejas que presentan riesgos de concebir un hijo afectado por una patología o enfermedad genética, y evitar así la transmisión a la descendencia. Gracias al Matching Genético, se evalúan más de 300 enfermedades hereditarias, como la Fibrosis Quística, Síndrome de X frágil, Anemia Drepanocítica, Atrofia Muscular Espinal, Tay-Sachs, Talasemia, Enfermedad de Canavan, Síndrome de Bloom y Enfermedad de Wilson.
Por otro lado, el Test Genético Preimplantacional (PGT) es un método de diagnóstico que se realiza al embrión antes de ser transferido al útero materno que permite detectar anomalías genéticas en el embrión. La detección de dichas enfermedades se realiza mediante la biopsia embrionaria y posterior análisis.
“Estas técnicas han supuesto un incremento significativo en las probabilidades de éxito de fecundación cuando existe riesgo de transmitir a la descendencia alteraciones cromosómicas numéricas, alteraciones estructurales o enfermedades hereditarias graves”, concluye el doctor.