Llama GRATIS 917 715 333
PIDE CITA con la Dra. Elena Traverso Morcillo

Artículos publicados por la Dra. Elena Traverso Morcillo

Hiperprolactinemia y fertilidad 16 Jun, 2025

¿Puedo quedarme embarazada si padezco hiperprolactinemia? ¿Cómo?

Seguir leyendo
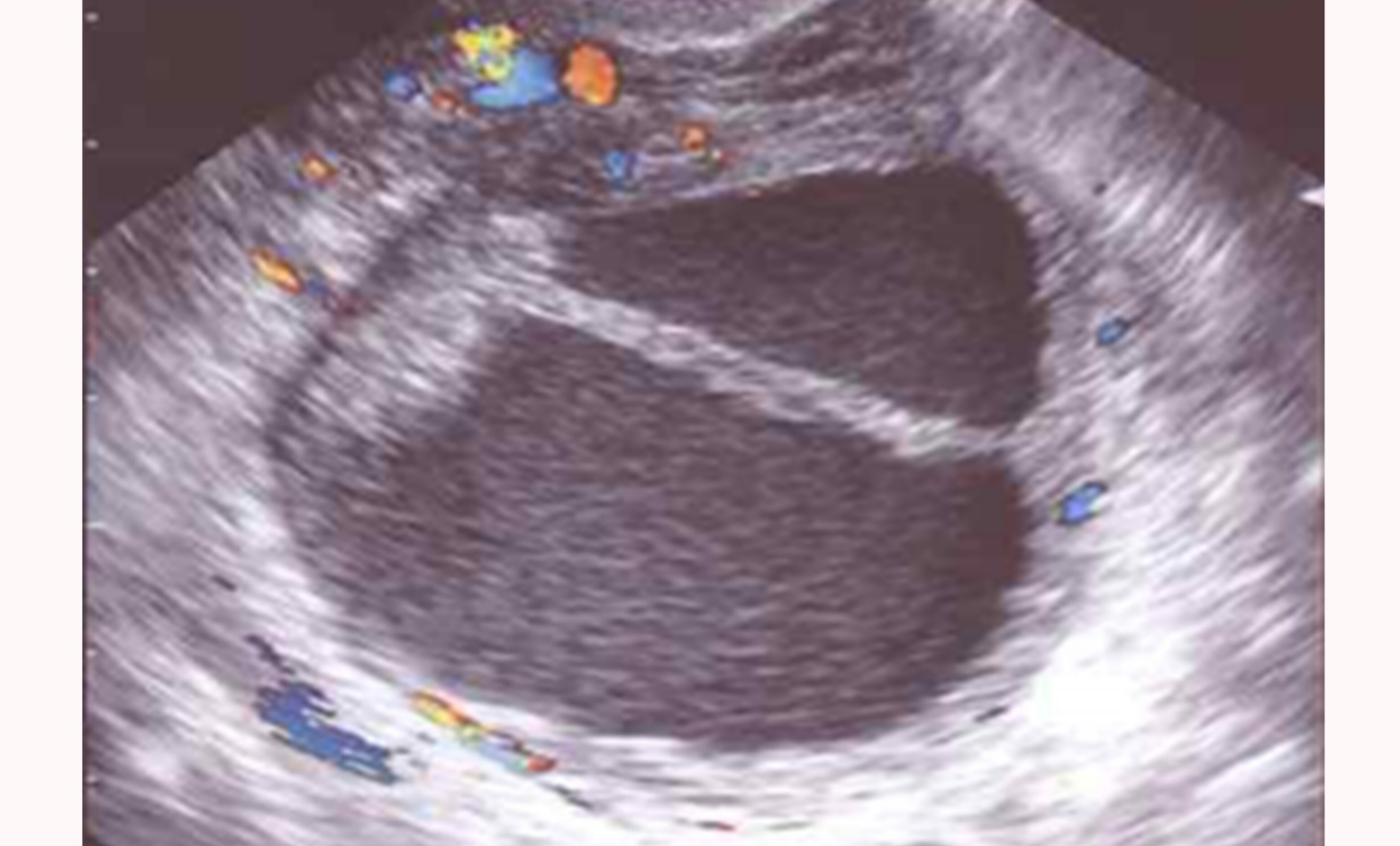
Gestación incipiente: desde la beta hasta la ecografía transvaginal 27 Feb, 2025

Primeras semanas de embarazo: desde la beta a la ecografía

Seguir leyendo
Efectos secundarios de la estimulación ovárica 3 Oct, 2024

Efectos secundarios de la estimulación ovárica

Seguir leyendo
Ver más artículos de la Dra. Elena Traverso Morcillo

Ginemed Jerez (Cádiz), tu clínica de reproducción asistida con más de 30 años de trayectoria

Pedir cita
Sala de espera clínica Ginemed Jerez (Cádiz)